Moin,

hier versuche ich eine kleine Verlaufgeschichte meiner Meningeom-Behandlungen darzustellen. Viele Texte sind einfach aus den Arztbriefen abgeschrieben.

30.03.2017: OP

  • Komplette Resektion des ausgedehnten links temporalen Meningeoms (Neurochirurgie Bremen).
    Primär postoperativ kurzzeitige Hemiparese rechts für 3 Tage, die sich vollständig ausglich. Einmaliger
    Grand-Mal- Anfall; seitdem antiepilept. Behandlung (Levetiracetam 2 x500 mg)
    initiale Histologie: Meningeoms WHO-Grad II.

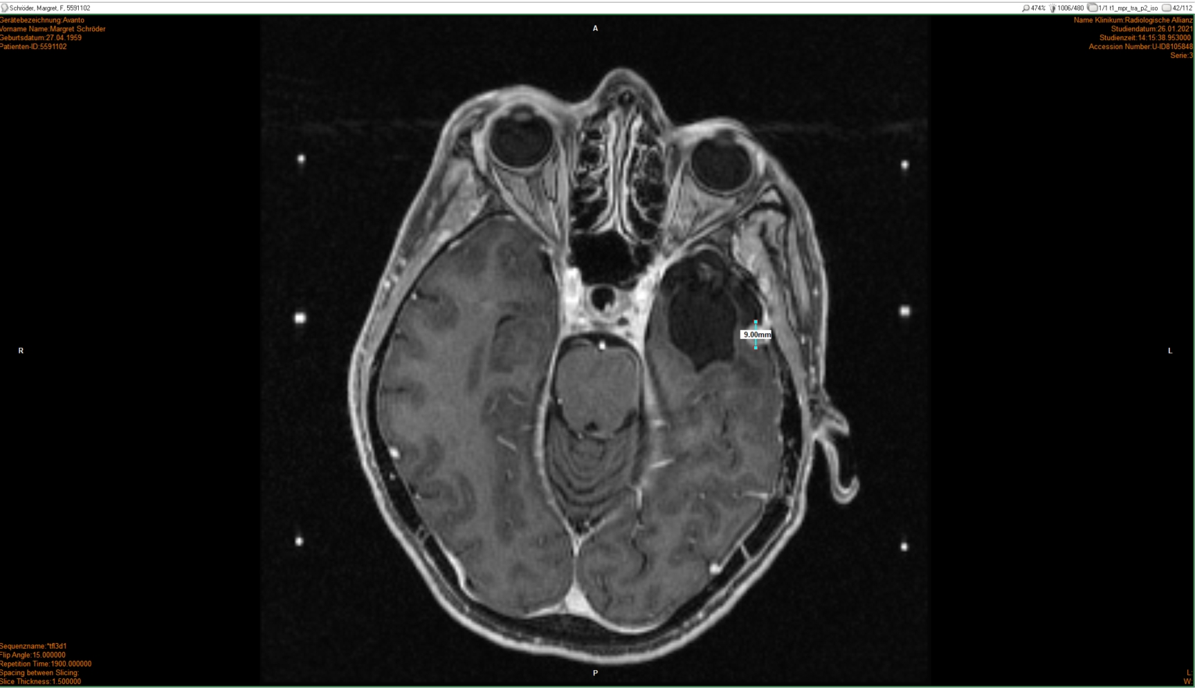
26.01.2021: Gamma-Knife

  • GammaKnife-Behandlung eines kleinen links temporal duraständig gelegene Konvexitätsmeningeom (postoperatives Rezidiv)
    13 x 9 x 10 mm,Volumen 0,53 cm3 , Minimumdosis 20 Gy.

April 2021 bis November 2024: Abwarten

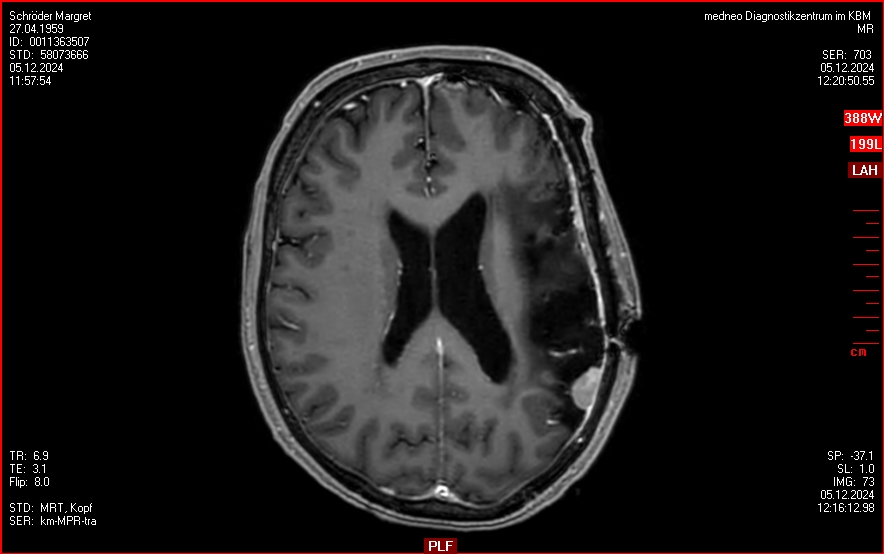
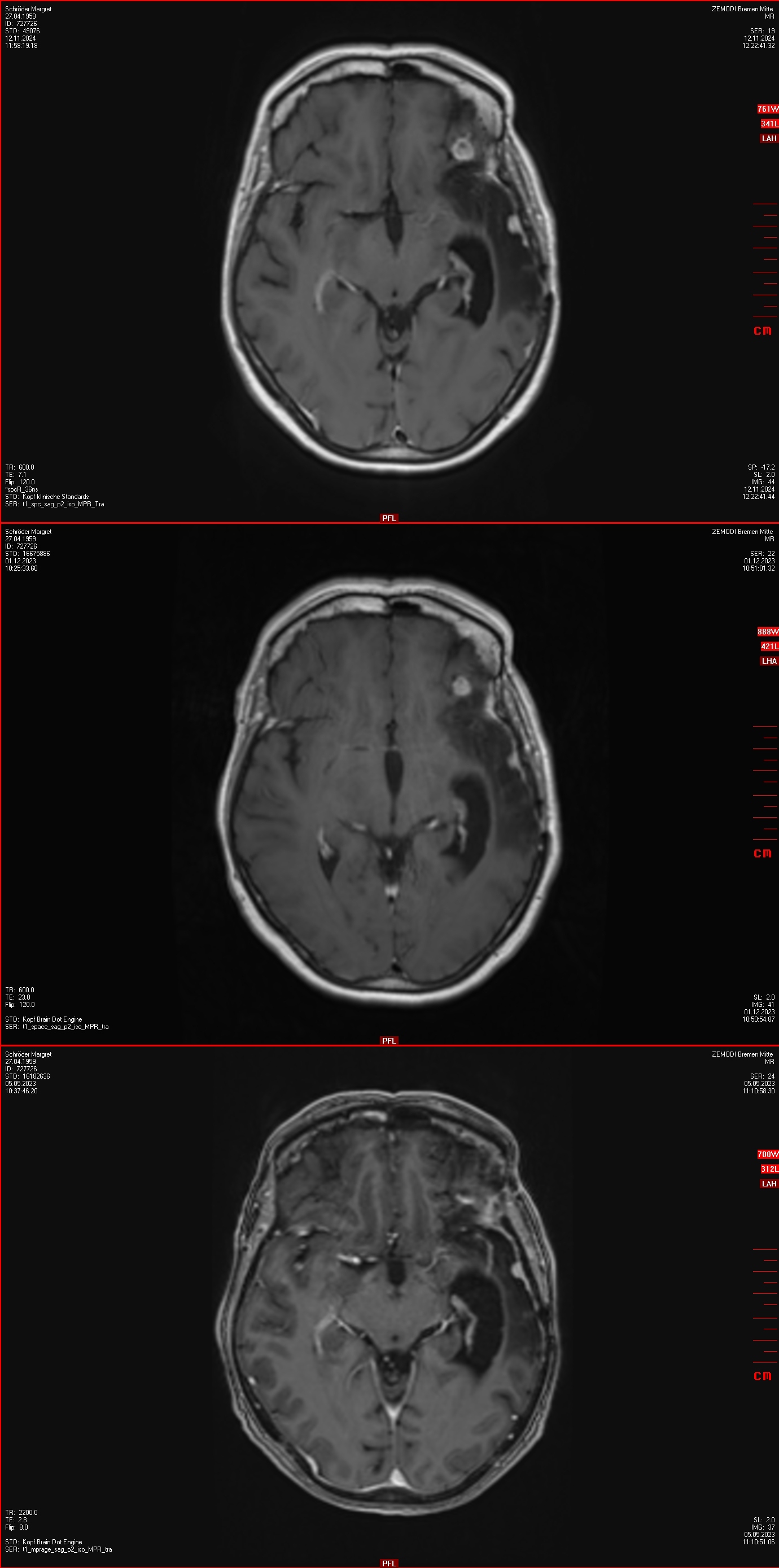
Natürlich war ich regelmäßig beim MRT. Die Auswertungen wurden stets vom Radiologen und von einem Neurochirurgen im Bremen gemacht.

Schön zu sehen war, dass der bestrahlte Tumor kein Wachstum hatte - siehe Bilder vor dem Text.

Aber es tauchten immer wieder neue Funde auf, die mich beunruhigten. Aber die Experten hatten dazu eine andere Meinung. Deshalb ist bis November 2024 weiter nix passiert.

12.11.2024: MRT

  • unverändert zur Gamma Knife Behandlungssituation 2021 das kleine links temporale Konvexitätsmeningeom
  • Ein progredientes links frontoorbitalis Meningeom (10 mm)
  • Ein progredientes Meningeom links frontobasal en-Plaque wachsend mit Raumforderung am linken N.opticus mit Durchmesser 36x13x6mm
  • Ein kleines Meningeom links temporamedial am Tentorium (9 mm),
  • Ein weiteres sehr kleines links temporales Konvexitätsmeningeom (8 mm),
  • Ein progredientes Meningeom links temporaparietaler Übergang (19 x 9 mm)

04.12.2024: OP

  • erneute Operation in Bremen: Resektion des größeren linksfrontobasalen Meningeoms sowie des Meningeoms links frontoorbital und und des 2021 im Gamma Knife behandelten Konvexitätsmeningeom
  • Histologie : Meningeoms WHO Grad 3 (C228T Mutation im TERT Promotor)

05.12.2024: MRT postoperativ

  • komplette Resektion des links frontobasalen Meningeoms, des links frontoorbitalen Meningeoms sowie des  im Jahr 2021 im Gamma Knife behandelten Meningeoms. Die weiteren oben beschriebenen Meningeoms sind unverändert.

26.01.2025: Gamma-Knife

Es werden  die folgenden Meningeome therapiert:
• #2 Konvexitätsmeningeom links temporalateral (8 x 5 x 7 mm)
• #3 Links tempora-medial ausgehend vom Tentorium unmittelbar oberhalb des Cavum Meckeli links (10 x 10 x 11 mm) Minimum
• #4 Links temporo- okzipital im okzipito parietalen Übergang (20 x 11 x 13 mm)
• #6 Links okzipito lateral (8 mm unterhalb von #4)

 

26.01.2025: Diagnose

Die Aufnahme zeigt erstmalig eine durale Verdickung im Sinne eines weiteren Meningeoms links hochparietal mit einem Durchmesser von 26 x 6 x 22 mm. Diese durale Verdickung ist am26.01.2025 nicht behandelt worden, da dies zu stark belastet hätte.

Darüber hinaus handelt es sich hier um ein eher flächiges Meningeom, wobei geklärt werden sollte, ob dieser Tumor fraktioniert bestrahlt werden soll.