Rückblicke auf 2024/2025: Eine zweite Behandlungsrunde...
2017 wurde ein sehr großes Menigeom erfolgreich operiert. 2021 ein Rezidiv erfolgreich im Gamma-Knife behandelt. Regelmäßige Kontrollen haben keine Behandlungsbedaf gezeigt. 2023 ist eventuell ein wachsendes Rezidiv übersehen worden, aus der Tumorkonferenz kam keine Rückmeldung und ich habe mich erst 12 Monate später gekümmert, dann war eine neue Behandlungsrunde nötig. Darüber hier der Bericht.

Juli/August 2024
Moin! Nun bin ich bereits im Jahr acht nach der Hirntumor-OP. Darüber habe ich hier bereits erzählt.
Weiterhin fühle ich mich fit und die drei kleinen Tumore im Kopf machen zur Zeit auch keinen Ärger. Im letzten Jahr gab es ein paar epileptische Anfälle, einer hat mich mit Rettungswagen ins Krankenhaus gebracht. Nun nehme ich wieder Medikamente.
Wie es scheint, habe ich viel Glück im Unglück. Die Weltlage ist beunruhigend: Kriege, Klimawandel, Artensterben, Bedrohung der Demokratie. Für all das habe ich keine Lösung,
Aber ich bin im Herbst/Winter meines Lebens angekommen. Da ist es Zeit für die Ernte. Die PV-Anlage auf dem Dach macht mehr Strom als unser Haushalt braucht. Die Tomaten sind bald rot. Und ich habe das Glück, die Entwicklung von 10 jungen Menschen (aus der Familie und dem Kreis der Freunde) zu sehen, die gerade den Sprung in das Erwachsenalter tun. Da gibt es viel Grund zur Hoffnung - hier und da darf ich etwas beraten und unterstützen.
Und nun sieht es so aus, als würde auch die Sache mit der Betriebsrente klappen. Wirtschaftliche Unabhängigkeit war mir immer sehr wichtig. Nun sieht es gut aus.
Und so beschließe ich positives Denken zu pflegen. In meiner Jugend war ich in der Friedensbewegung. John Lennon sang Imagine. Und so lebe ich in den Tag, und denke ein weiterer Held meiner Jugend hat recht "Das Paradies ist hier".
Viele Grüße
Margret Schröder

November/Dezember 2024
Moin! Nun muss doch mal geklärt werden was mit meinem Kopf ist. Leider scheint da allerlei zu wachsen. Eine OP ist nun nicht mehr zu vermeiden.
Damit ich nicht so oft erklären muss, was los ist, schreibe ich es hier mal einen Bericht von der OP auf.
Ich habe Respekt, fühle mich in guter Betreuung. Dann bitte ich um "Daumen drücken."
(Stand 2.12.2024)

Dezember 2024: Nun kann gefeiert werden
Die Kekse sind gebacken, viele, die mich kennen, werden wissen, dies ist ein gutes Zeichen. Alles hat geklappt, der Einkauf diesmal ohne Rad (der Helm sitzt noch nicht so gut), aber meine Radanhänger geht auch als Hackenporsche für den Einkauf. Das Backen ist über Jahrzehnte eingeübt und hat ohne besondere Vorkommennisse funktioniert. Wer will ist zum Probieren eingeladen.
Und es ist Zeit für eine kleines Danke!
(Stand 14.12.2024)
Januar 2025: Weiter keine Symtome aber Diagnosen
Das Radfahren habe ich heute wieder mal versucht. Hat problemlos geklappt, das ist gut für die Lebensqualität. Kann sein, dass einer der Chirurgen das Radfahren verbieten wollte - aber das habe ich dann wohl übersehen :-) . Nun, ich lebe im ruhigen Norden von Bremen und bin vorsichtig und achtsam - das kann mein Mann bestätigen.
Bisher spüre ich überhaubt keine Einschränkungen. Leider sind die Nachrichten ansonsten nicht so, als würde dies langfristig so bleiben.
Nach kleinen Informationsprobleme in der Weihnachtszeit und "zwischen den Jahren", habe ich gestern eine Information über die pathologischen Untersuchungen der entnommenen Tumore und auch eine Empfehlung einer Tumorkonferenz. Leider sind die Tumore nun nicht mehr gutartig sondern dem WHO Grad 3 zuzuordnen. Das ist blöd, denn dann werden sie weiter wachsen und wiederkehren. Die Tumorkonferenz und die Strahlentherapeuten im Krankenhaus raten deshalb zu Bestrahlungen des gesamten Bereichs in dem operiert worden ist in ca. 30 Sitzungen. Das klingt in meinen Ohren ziemlich bedrohlich für den den Rest meiner Hirnzellen, die ja ganz ordentlich funktionieren. Ich werde in den nächsten Tagen weitere Meinungen erfragen.
Ein Gespräch mit dem Neurochirurgen hat einen mir einleuchtenden Plan aufgezeigt: Zunächst werden die zwei verbliebenden Tumore, die bei der OP nicht erreicht werden konnten mit Hilfe des Gamma-Knife am Wachsen gehindert und dann anschließend auch die restlichen vereinzelnden "bösen" Tumorzellen im Operationsbereich in mehrere Sitzungen Bestrahlung bekämpft. Vielleicht gelingt es ja - so schlecht sind die Chancen wohl nicht. Möglicherweise profitiere ich bereits von neueren Entwicklungen, die in der Medizin recht schnell sind. Mal sehe, ob die Spezialisten des Gamma-Knife die Situation genauso einschätzen und einen Termin für mich haben.
In ein paar Monaten ist Frühling und ich habe beschlossen, nun bald Tomatensamen etc. in Saatschalen auf der Fensterbank auszusäen. Vielleicht kann die Vorfreude auf längere Tage die Gedanken etwas aufhellen.
(Stand 10.01.2025)
Januar 2025: Vieles ist nun viel klarer
In der letzen Woche war ich mit Stephan zweimal in Hamburg im iCERA (Interdisziplinäres Centrum für Radiochirurgie) bei Prof. Dr. Lippitz. Er hat sich dem Informationsdurcheinander, was im Dezember und Januar bei uns Unsicherheit ausgelöst hat, angenommen. Er hatte Zeit für einen sorgfältigen Blick auf die MRT-Bilder und vorhandende Berichte. Ein Telefongespräch mit der Bremer Stahlentherapie hat dann einen Plan für ein weiteres Vorgehen erzeugt und nun sind im Gamma-Knife vier Tumore behandelt worden, ein weiterer und eventuell auch das Operationsgebiet wird dann in Bremen noch bestahlt werden.
Ich war sehr beeindruckt von den Arbeit dort in Hamburg, Prof. Dr. Lippitz hat großartige Tools.
- sowohl für die Planung der Bestrahlung am Computer - Bilderkennung hilft anschaulich beim Finden von Unterschieden auf MRT-Bildern, die im Laufe der Zeit erstellt wurden, und die Erfahrung des Arztes ergeben dann einen vertrauenserweckenden Plan für die Bestrahlung
- die Gamma-Knife Maschine ist ja wohl auch eine großartige Maschine, die sicher schon vielen Menschen mit Metastasen oder kleinen Tumoren im Kopf geholfen hat
- Und dann gibt es auch das Team der Menschen, die die Maschinen bedienen und warten und die mit großer Freundlichkeit all das notwendige Drumrum an der Patientin erledigen (Telefongespräche, MRT erstellen, venösen Zugang legen, den Rollstuhl schieben...)
Alles war nach einem langen Tag erledigt, exaktes, neues MRT, Auswertung bei der ein paar neue blöde Stellen gefunden wurden, Bestrahlung (2 Stunden), Telefongespräche und Berichte, die wir gleich mitnehemen konnten. Am Abend hat der Professor auch die Hausmeisterrolle übernommen und uns raus gelassen. Vielen Dank nach Hamburg!
Kann es sein, dass die Gamma-Knife Behandlungsmethode für Menigeome immer noch keine Leistung aller Krankenkassen ist? Bei Hirnmetastasen hat sich 2023 etwas getan - aber die Indikationsstellung erfolgt durch die Tumorkonferenz (!). Alles fein penibel geregelt bei uns.
Noch viel zu tun - am 23. Februar hat der Souverän die Wahl.
(Stand 26.01.2025)
Februar 2025: Nicht so schlecht!
- Immer noch befindet sich ein unbehandelter Tumor in meinem Kopf - noch nicht ganz klar, wie es damit weiter gehen wird und auch nicht, ob neue Tumore bereits wachsen. Leider nicht unwahrscheinlich. Anfang März habe ich einen Termin zum MRT und dann muss man sehen.
Leider ist mein ehemaliger Arbeitgeber immer noch nicht fähig oder bereit, meine Betriebsrente richtig zu berechnen und auszuzahlen. Darüber bin ich verärgert, obwohl es mir wirtschaftlich an nix mangelt. Aber immerhin teile ich die Rente mit der gesetzlichen Krankenkasse und auch die kann jeden Euro gebrauchen.- Leider ist die Welt gerade sehr in Unordnung geraten - ich bin sehr besorgt, wie wohl viele in diesem Land.
Aber
- Ich kann weiterhin 2000m schwimmen in weniger als 60 Minuten
- Ich war mit dem Rad ein paar Mal im Kino (20 km von meinem Wohnort - einfache Strecke). Lauter nette Filme gesehen. Meine Empfehlung.
- Und auch die Sportstunden bei Conny gehen noch (fast) so gut wie vor 30 Jahren.
- Auch ansonsten spüre ich keine Einschränkungen, so kann es erstmal bleiben.
- der Frühling ist ja auch schon zu spüren.
(Stand 26.02.2025)
Nachtrag am 27.02.2025: Nachdem der Anwalt der IG Metall meinem Arbeitgeber einen Brief geschrieben hat, ist nun bestätigt worden, dass man mir die Betriebsrente in der Höhe zahlen wird, von der ich denke, dass sie mir zusteht. Ein Jahr Streit ist damit beendet - wieso das passiert ist, weiss ich nicht und jede private Verschwörungstheorie Unfug. Manchmal ist ein starker Partner gut.
März 2025: Glück oder Wunder!!?
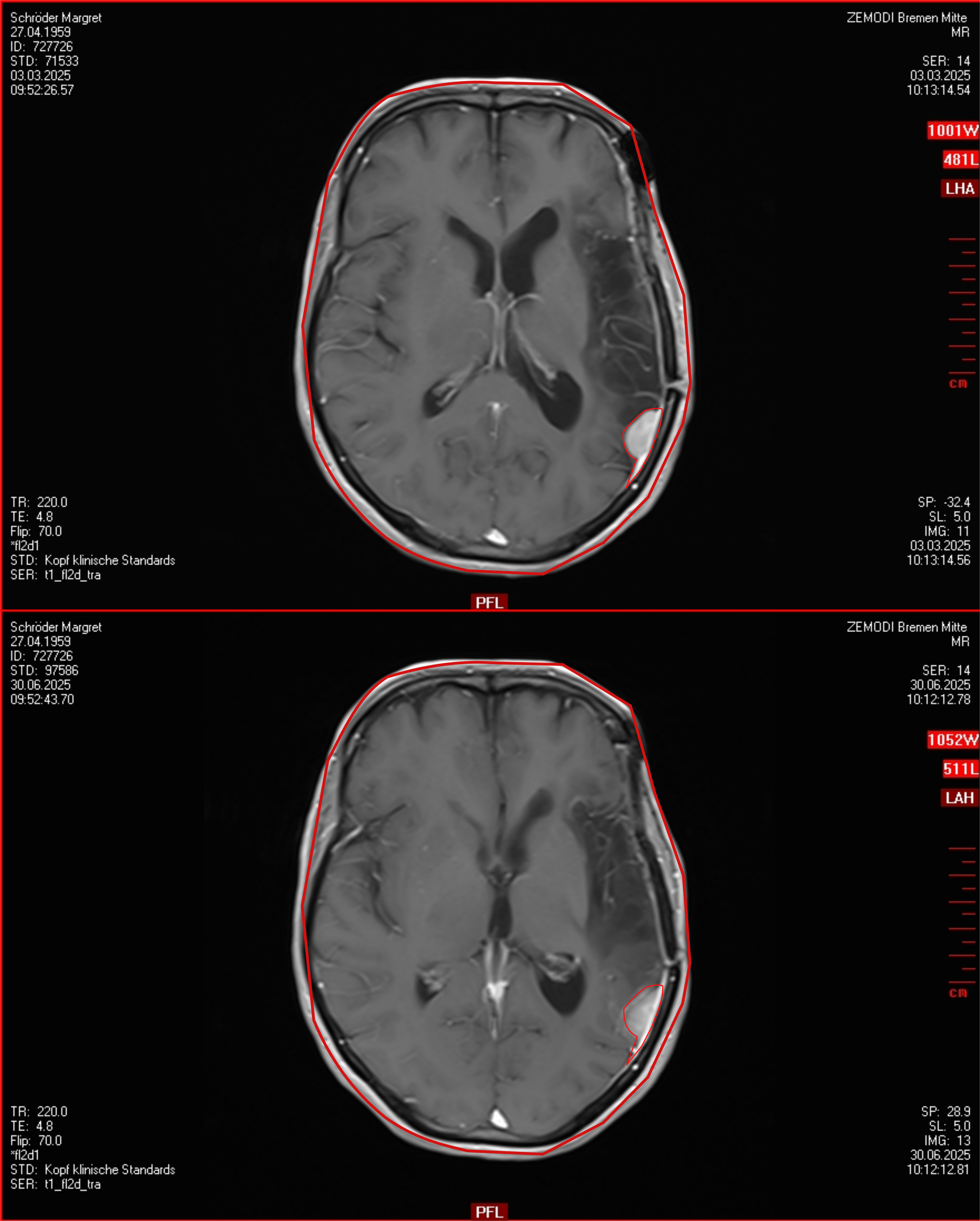
Wie es scheint befindet sich kein unbehandelter Tumor in meinem Kopf! Im letzten MRT vom 03.03.2025 ist er nicht zu finden. Alle Experten kommen zu diesem erfreulichen Ergebnis. Warum ist nicht klar. Aber nun ist erstmal Pause bis zum nächsten MRT in drei Monaten.
Gut, dass auch mein gelbes Fahrrad einen neuen Antrieb bekommen hat. War so teuer wie die Rechnung vom Klempner, den ich zur Beseitigung eines Frostschaden brauchte. Leider vergessen den Wasseranschluss außen vor dem Winter zuzudrehen. Naja nur noch 1/2 Gehirn🫤.
Ich freue mich auf den Frühling.
(Stand 15.03.2025)
Kleiner Radurlaub zu Pfingsten!
Kleine Herrausforderungen dürfen mal sein. Deshalb habe ich zu Pfingsten meine Schwägerin im Königswinter mit dem Rad besucht. Hat alles prima geklappt, ich habe viel gesehen, erlebt und meine Freude daran, dass mir eine solche Sache gut gelingt. Wer mag kann hier meinen Reisebericht ansehen. Aber der Bericht ist langweilig und eher ein kleines Übungsprojekt in der Web-Programmierung - die Software, die ich benutze hat mal wieder eine neue Version, alles ist anders geworden und um das alles zu verstehen, brauchte ich eine kleine Übung. Voilà!
Zur Zeit ist also Körper und Geist noch halbweg in der Reihe. In der nächsten Woche ist das nächste MRT. Mal sehen. Heute geht es mir gut. Am Tag, an dem ich dies schreibe wäre 103. Geburtstag meines Vaters.
(Stand 24.06.2025)
Gewachsen?! Entscheidung vertagt.
Am 30.06.25 war ich beim MRT. Es hat kein Gespräch mit dem Radiologen stattgefunden - drei MRT-Geräte und nur ein Arzt anwesend. Naja. Der Bericht war schnell bei der Hausärztin, beim Verstehen musste diesmal ChatGPT helfen. Ein Tumor ist gewachsen - einer von denen, die im Gamm-Knife bestrahlt wurden. Am 02.07.2025 war ich in der Ambulanz der Neurochirulogie des Krankenhauses. Dort die gleiche Ausage. Nun warte ich mal auf die Aussage der Tumorkonferenz. Vorsorglich habe ich die Bilder auch nach Hamburg zur Gamma-Knife Praxis geschickt.
Weil ich ja auch immer selber schaue, habe ich hier eine kleine Studie versucht. Und weil meine Geschichte so unübersichtlich ist, habe ich auch eine Tabelle mit der Historie erstellt. Nun weiss ich, dass ich noch etwas Webseiten bauen kann.
Auch in Hamburg ist man nicht sicher, ob der Tumor gewachsen ist. Deshalb wird in August ein neues MRT gemacht und dann noch einmal geschaut. Eventuell war das in Bremen erstellte MRT nicht genau genug - oder die Unterschiede sind zu klein? Falls der Tumor gewachsen ist, muss er aus den Kopf. Die Neurochirulogie hat eine Resektion angeboten. Dann mal sehen. Mir geht es weiter gut, gestern waren wir auf der Breminale, die Musik der jungen Leute war mir etwas zu laut. Im Kino haben wir auch noch einen Film über John Lennon und Yoko One gesehen, da zeigen sich die Löcher in der Erinnerung. Aber war interessant. Heute bin ich wieder geradelt zum Baubeeren pflücken. Geht alles ohne Probleme.
(Stand 14.07.2025)
Alles wächst...
Der Tumor ist leider gewachsen, langsamer aber sichtbar. Er muss wohl raus. Vielleicht gibt es auch neue Rezidive. Aber im Moment ist kein Grund zur Eile, deshalb habe ich frei bis zum Winter und kann meine eigenen Wege gehen.
Letzten habe ich den Film "The life of Chuck" gesehen, ein gelungenes Kunstwerk. Chuck tanzt, ich fahre Rad. Auf dem Weg zum Schwimmen kontrolliere ich die Storchennester und freue mich, dass ich jetzt schon mal 10 Exemplare von Ihnen auf einem Feld sehe kann - die Brut ist herangewachsen. Und ich bin schon im neunten Jahr meines 2. Lebens - eine lange, eher gute Zeit, eine Reise von Oase zu Oase.
Und auch die Tomaten im kleinen Garten sind gewachsen schnell und reichlich. Da mussten wir Tomatensuppe essen und einkochen und ein Ende ist noch nicht abzusehen.
Kurz nach dem letzten MRT hatte ich die Gelegenheit meinen Lieblingssänger im Konzert in Hannover zu sehen - einer von den vielen Menschen, die gerade gemeinsam mit mir alt werden. Aber ich meine, wir haben bessere Bedingungen als die Generationen unserer Eltern und Großeltern. Aber haben wir es wirklich besser gemacht? Oder gehen auch wir die Wege des geringsten Widerstands - obwohl wir es besser wissen könnten? Immer mehr Wachstum -größer, schneller, weiter 🚀 ... 🙁
(Stand 01.09.2025)
Noch mal gut gegangen!
Ich hatte ein gutes Jahr:
Vor 12 Monaten mussten meine Tumore im Kopf operiert werden. Die Operation war erfolgreich, aber die entnommenen Tumoren waren böse und es gab weitere Tumore, die im Gamma-Knife bestrahlt wurden. Dabei fand sich ein neuer Tumor, der später nicht mehr auffindbar war, einer anderer schien gewachsen zu sein. Und auch die Art der Behandlung/Bestrahlung war unklar. Mittleres Durcheinander. Aber das neueste MRT vom 10. November zeigt, dass es weiter Tumore in meinem Kopf gibt, die bestrahlten sind größenstabil. Ein paar kleine sind im Sommer dazu gekommen, aber seit August nicht weiter gewachsen. Eine bessere Diagnose war wohl nicht möglich. Und ich habe keinerlei Symptome. Die Mediziner haben es nicht leicht – aber ich bin sehr dankbar für ihre Hilfe.
Vor einem Jahre hatte ich einen langen Kampf um die Höhe meiner Betriebsrente hinter mir – mühsam und zäh. Mit Hilfe eines Anwalt von der IG Metall ist Anfang 2025 die Durchsetzung meiner Ansprüche gelungen. Blöd, so will ich die Welt nicht – ich wollte keine Bittstellerin sein sondern nur das bekommen, wofür ich gearbeitet hatte. Unter anderen hatte ich 2003-2005 auf der Auszahlung meines 13./14. Gehalt verzichtet um dann im Rentenalter diese Beträge „gut“ verzinst ausgezahlt zu bekommen. (Ein wenig Steuersparmodell, in Rentenzeiten ist der Steuersatz geringer als mitten im Berufsleben – jedenfalls wenn man Alleinverdiener einer Ehe/Familie ist). Aber der Ertrag ist eingefahren, meine Bruttoauszahlung hat sich mehr als verdreifacht. Nun bekommen Finanzamt, Krankenkasse und Pflegeversicherung einen großen Teil ab – was ich richtig finde, denn ich habe es gut in diesem Land.
Nicht alles ist gut, ein lieber Nachbar ist gestorben und auch meine Cousine muss nun ein Stück Lebensweg alleine gehen. Da bin ich ziemlich traurig.
Trotzdem gehe ich ganz zufrieden in die Weihnachtszeit und in das Neue Jahr. Gleiches wünsche ich denen, die dies lesen.
Margret
(Stand 14.11.2025)


