Kleiner Überblick über meine Menigeom-Behandlungen

Immer noch keine elektronische Patientenakte mit allen relevanten Daten und da erkläre ich immer mal wieder den Verlauf meiner Krankengeschichte. Deshalb hier der Versuch, einmal einen systematischen Überblick zu geben.

Eine druckbare Version dieser Seite ist hier (Stand: 20.08.2025) als pdf im Querformat.

Datum

Ereignis

Berichte

Bilder
(lassen sich durch klick vergrößern)

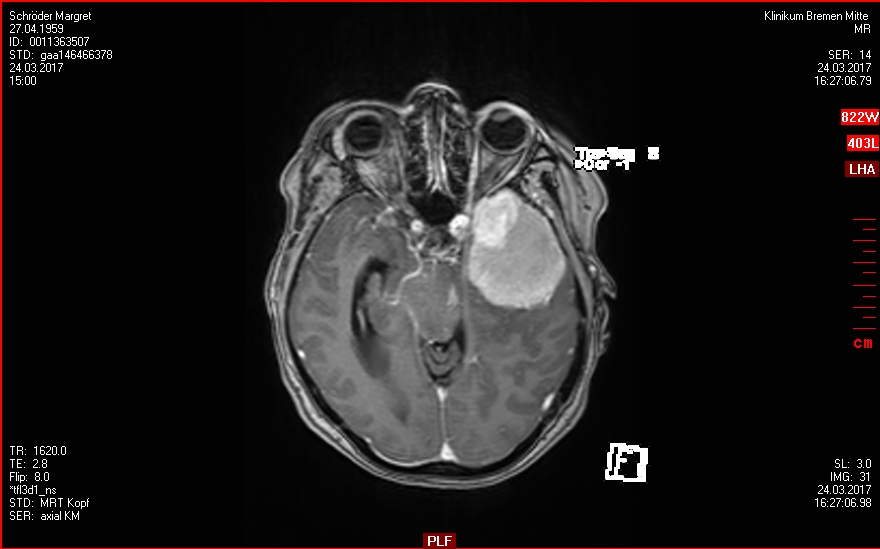
30.03.2017

OP - Krankenhaus Bremen-Mitte
Neurochirugie
Resektion des Keilbeinflügelmeningeoms links

 

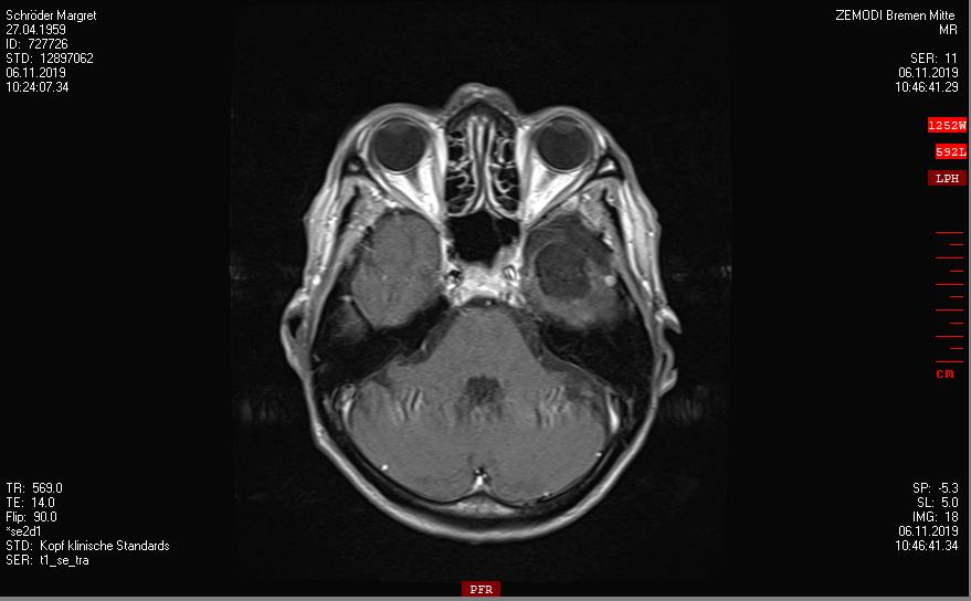
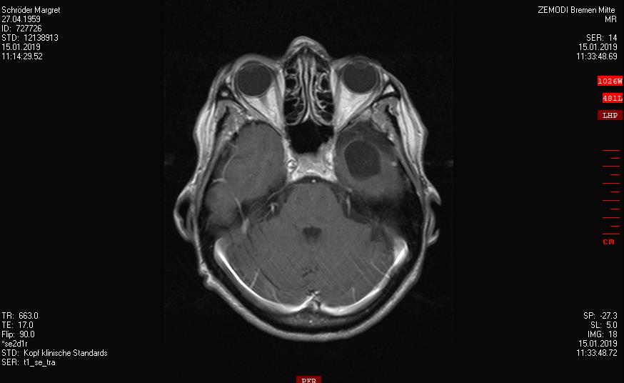
2019-2020

Ein Rezidiv wächst langsam
Die Tumorkonferenz vom Krankenhaus Bremen-Mitte rät zum Abwarten.
Der beratende Arzt dort, findet eine Bestrahlung im Gamma-Knife nicht falsch.

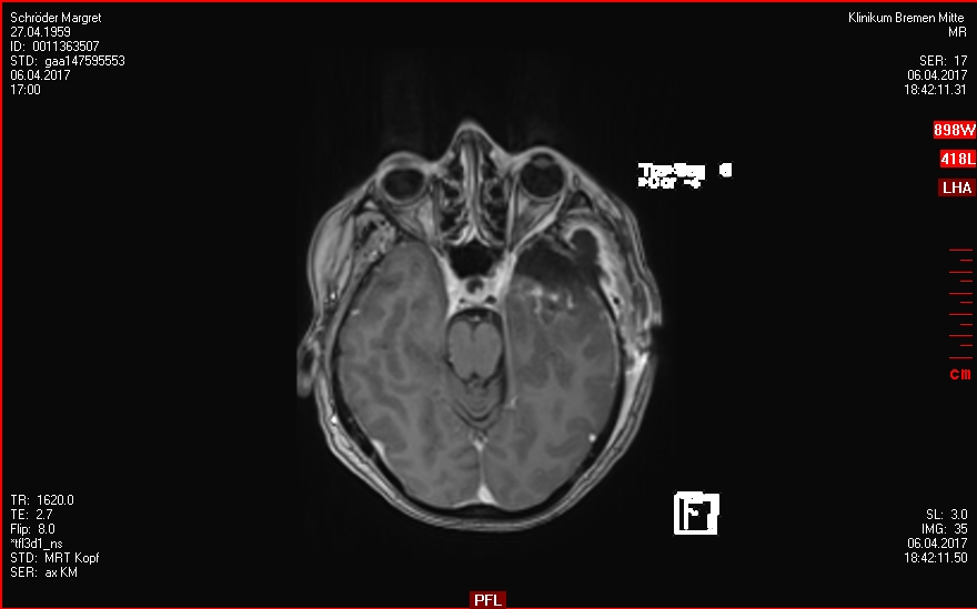
21.01.2021

Gamma-Knife Bestrahlung im ICERA Hamburg.
(Kontakt per Mail und Telefon aufgenommen, CD geschickt. Dann ging es gleich los.)

 

bis Mitte 2023

Regelmäßige Kontrollen, kleine Rezidiv-Funde aber keine Empfehlung für eine Behandlung.

Sommer 2023 - Ende 2023

Ein paar Anfälle incl. Notaufnahme im Krankenhaus.
Aber keine Info aus der Tumorkonferenz.

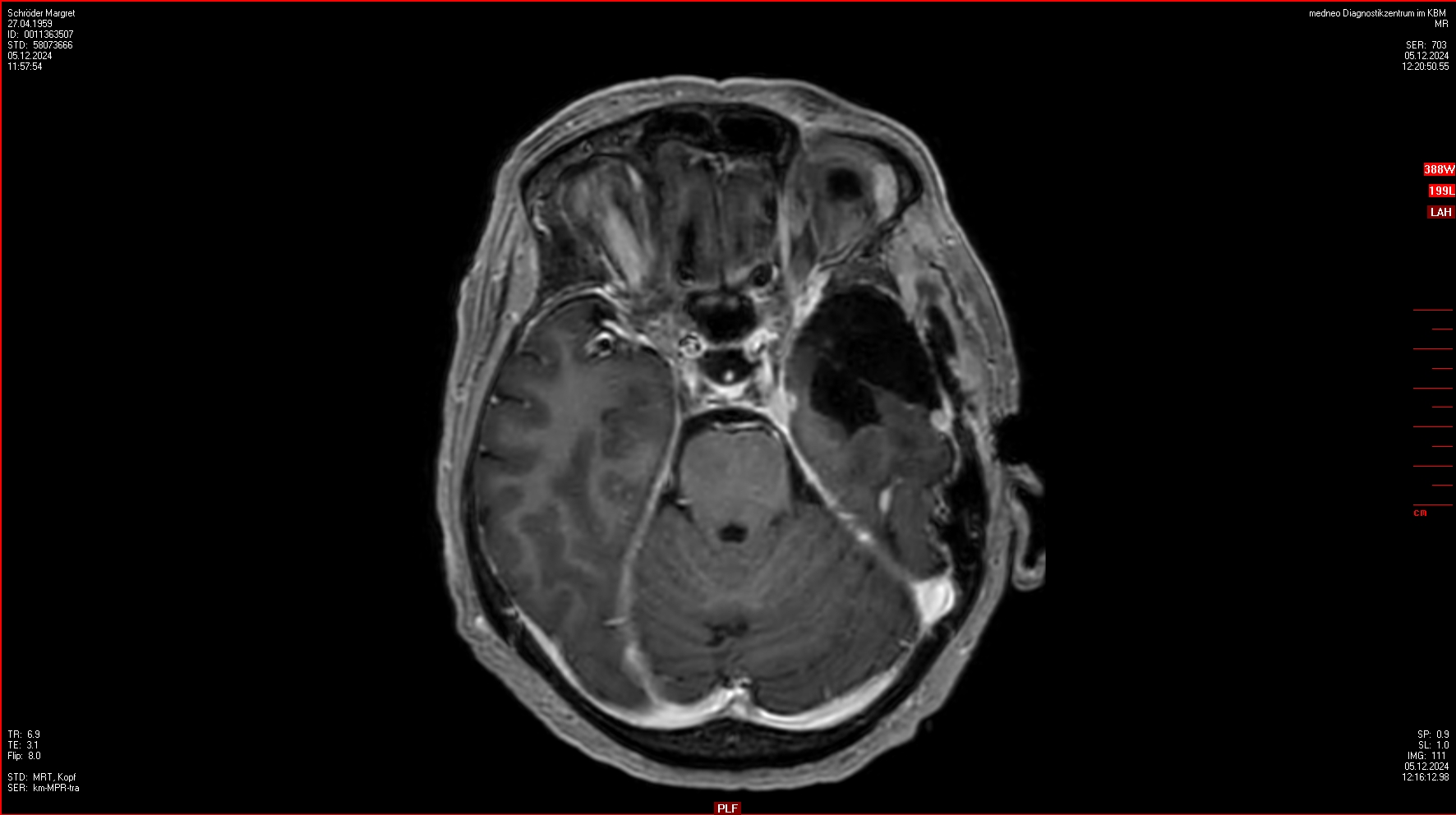
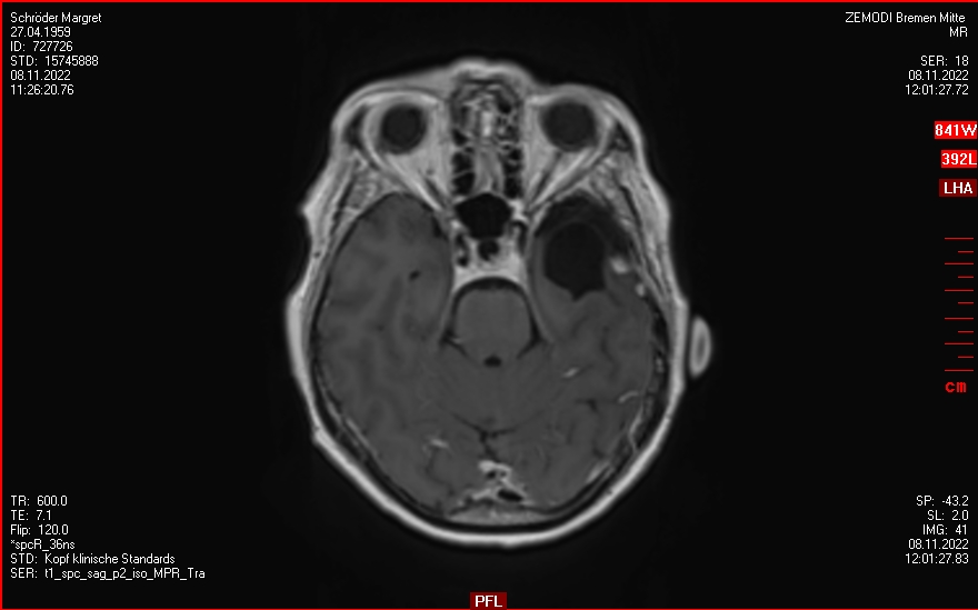
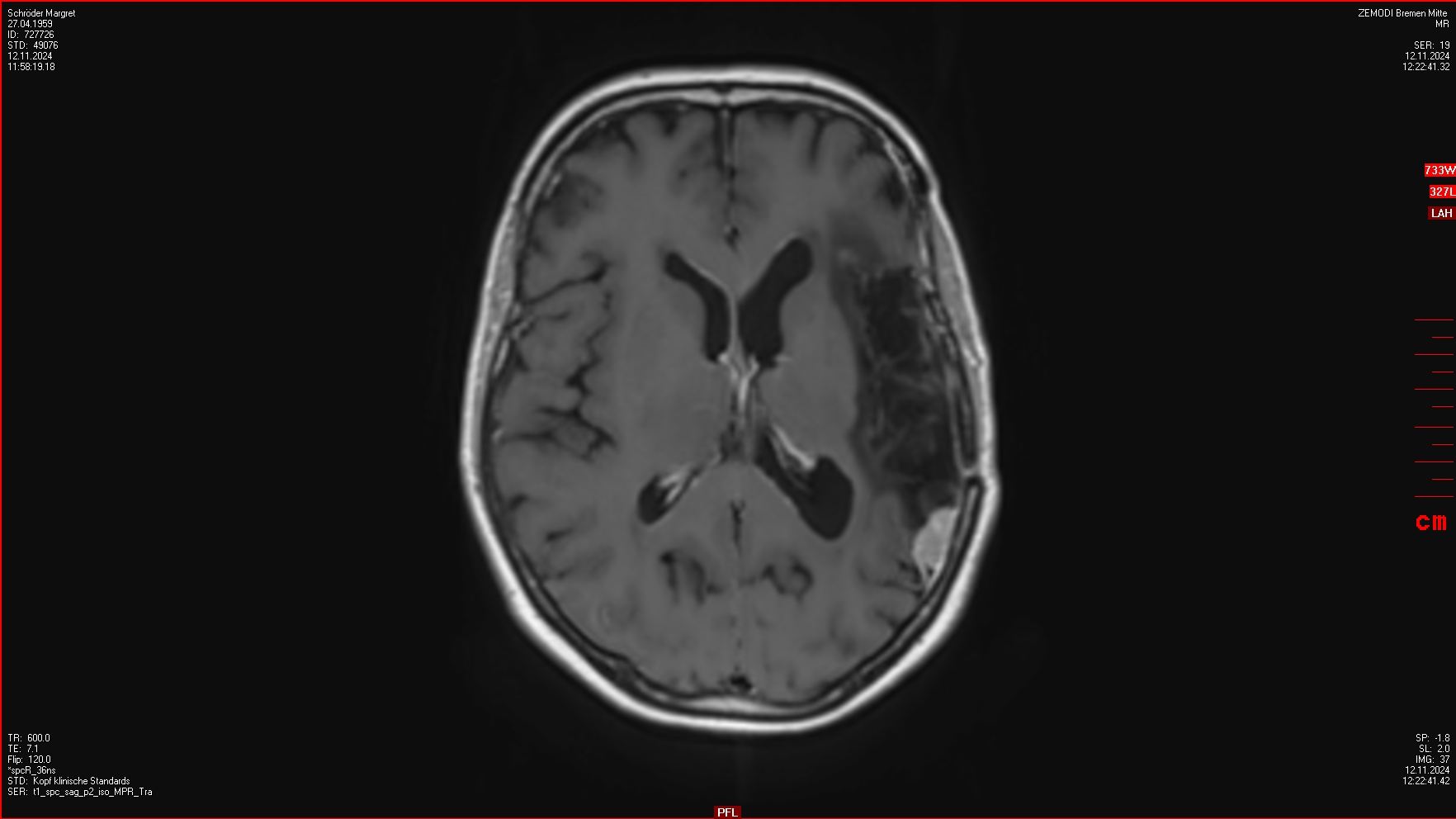
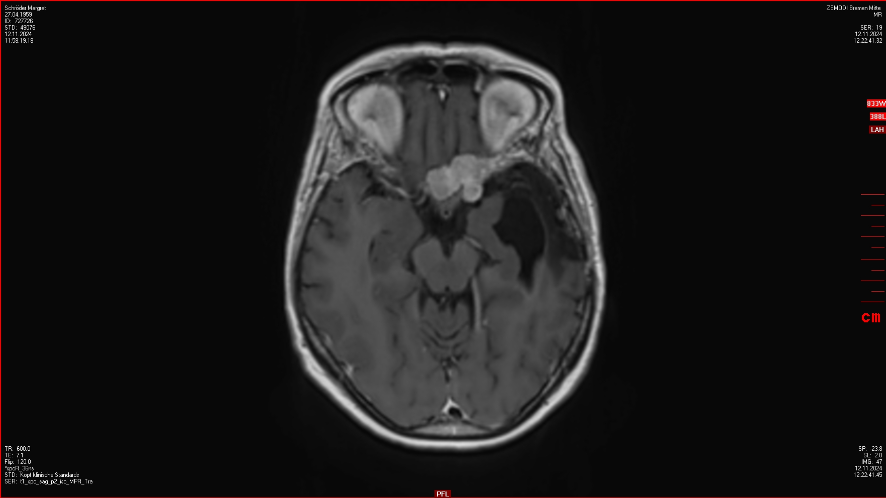
04.12.2024

OP im Krankenhaus Bremen-Mitte: 4 Menigeome (WHO III) entfernt, einige weitere verbleiben.

Ein ausführlicher Bericht von der OP findet sich hier.

23.01.2025

Gamma-Knife Behandlung imICERA Hamburg
4 Menigeome werden bestrahlt.
Ein weiteres Rezidiv wird entdeckt aber nicht bestrahlt. Aber dieses ist in den Folge-MRTs verschwunden.

Ein Bericht vom Gamma-Knife und dem Fortgang findet sich auf der Startseite.

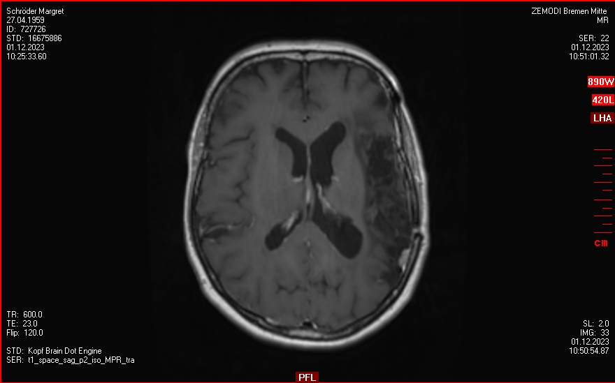
03.03.2025

Kontrolle bei Zemodi in Bremen

Die am 23.01.2025 gefundene bisher nicht bestrahlte "Auffälligkeit" ist nicht mehr zu finden.

 

Auswertungen des MRTs wurden von Zemodi, eines Neurochirugen vom Klinikum Bremen-Mitte sowie von Prof. Lippitz gemacht. Das Ergebnis war identisch. Keine Aussage zum Wachstum der am 23.01.2025 bestrahlten Tumore.

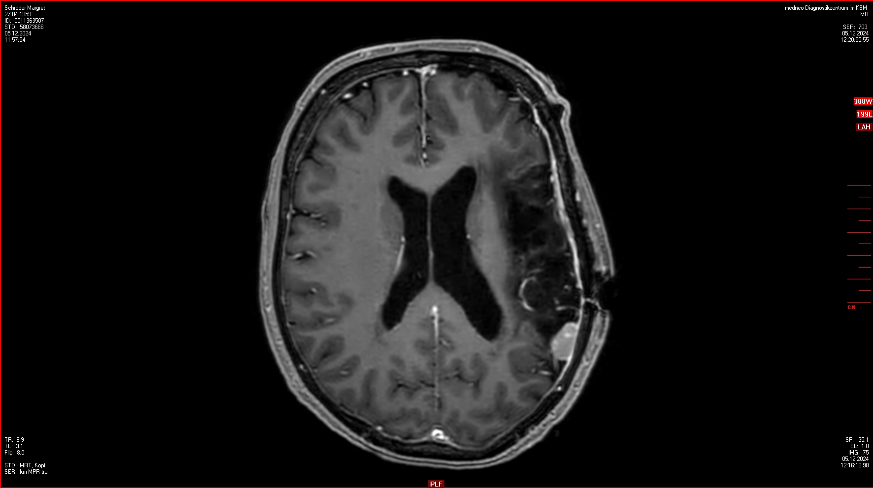
30.06.2025

Kontrolle bei Zemodi in Bremen

Nun scheint eines der Menigeome (links temporo-okzipital) gewachsen zu sein.

Auswertungen des MRTs wurden von Zemodi, eines Neurochirugen vom Klinikum Bremen-Mitte sowie von Prof. Lippitz gemacht.

  • Die Tumorkonferenz im Klinikum Bremen-Mitte schlägt vor, mit Prof. Lippitz zu klären, ob er behandeln kann  und bietet die Resektion des betroffenen Tumors an.
  • Prof. Lippitz empfieht ein erneutes MRT im August 2025, da das MRT nicht eindeutiges Wachstum zeigt.

Siehe auch meine kleine Studie hierzu.

18.08.2025

Kontrolle in der  Radiologischen Ambulanz  in Hamburg

Das  Menigeome (links temporo-okzipital)  ist seit dem 30.06.2025  nicht mehr weiter gewachsen.

Obwohl das Menigeom wohl nicht mehr weiter gewachsen ist, sollte man es nach Meinung von Prof. Lippitz entfernen.

Drei andere bestrahlte Tumore sind größenkonstant.

Laut Bericht des Arztes der Radiologischen Allianz gibt es zwei weitere kleine Auffälligkeiten (alle links).

11.11.2025
11.02.2026

Kontrollen in Bremen

Alle Tumor sind noch vorhanden aber wohl nicht gewachsen.

Vier bestrahlte Tumore scheinen größenkonstant zu sein. Es gibt zwei weitere Tumore, die eine Beobachtung brauchen. Im April 26 gehe ich zur nächsten Kontrolle.