MRT zur Kontrolle bei Zemodi

von Margret Schroeder

Erstaunlich war, das es diesmal kein Arztgespräch beim Radiologen gab, eine neue Erfahrung, nicht so gut. Leider ist dann auch der Bericht erst mit Verspätung bei der Hausarztpraxis angekommen. Die elektronischen Arztbriefe funktionieren noch nicht ganz zuverlässig. Naja. Bis zur ePA (elektronische Patientenakte) scheint noch ein weiter Weg zu sein.

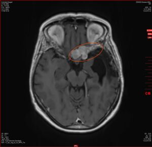
Man bekommt eine CD mit und kann auch für eine Weile online bei Zemodi auf die Bilder zugreifen. Mein Blick auf die Bilder ergibt einen kleinen Schreck. Da scheint allerlei zu wachsen. Nun, ich bin keine Expertin und deshalb froh, dass ich in ein paar Tagen einen Termin bei der Neurochirugie in der Ambulanz des Krankenhaus-Bremen-Mitte habe.

___________________

Besuch in der Neurochirugie

von Margret Schroeder

In der Ambulanz der Neurochirurgie im Bremen Krankenhaus-Mitte sind die Bilder interpretiert worden und es ist eine Behandlung nötig. Da wächst ein Menigeom ziemlich nah beim Sehnerv. Alles was im Bild markiert ist, gehört nicht dahin.

Die Tumorkonferenz empfiehlt zunächst eine erneute OP und diese Meinung teilt auch der Spezialist der Radiochirurgie aus Hamburg. Schön, dass man in einer recht kurzen Zeit einige Expertenmeinungen bekommt. Wenn das Ergebnis unterschiedlicher Personen und Instituionen übereinstimmt, dann habe ich ein ganz gutes Gefühl. Und ein Termin für die OP ist schon für die nächste Woche geplant. Danach wird man sehen ob weitere Behandlungen nötig sind.

___________________

Ein Tag Pause

von Margret Schroeder

Heute ist noch einmal Ruhe vor der Aufregung. Morgen gehe ich ins Krankenhaus zur OP-Vorbereitung, was auch immer da passieren mag. Am Abend werde ich zuhause sein und dann weiss ich auch wann die OP stattfinden wird. Ich bin ganz zufrieden, denn je länger gewartet wird, desto mehr wächst der Tumor und dann ist auch nicht so gut.

Ich  habe mir gestern mal die Haare kurz schneiden lassen, nun ist es kühl am Kopf. Aber es geht mir prima. Heute in der Frühe habe ich fast zwei Stunden Sonnengrüße geturnt, im flotten Tempo und dabei Podcast gehört. Nichts tut weh und nach einer Weile turnen ist auch die Wut nicht mehr ganz so schlimm. Obwohl es ja viel Grund zum Ärgern gibt:

  • die Lage in der Welt ist schlimm,
  • meine Betriebsrente ist auch noch nicht ganz so, wie sie mir aus meiner Sicht zusteht.
  • Und ein wenig traurig bin ich, dass ich im letzten Jahr, als da auch schon Tumore im Kopf zu sehen waren nicht darauf bestanden habe, dass was passiert. Eigentlich sollte der Fall in der Tumorkonferenz des Krankenhauses beraten werden, dazu ist es nicht gekommen, warum auch immer. Ich habe ein paar Mal erfolglos nachgebohrt und dann nicht eigenmächtig meine CD nach Hamburg zum Gamma-Knife geschickt. Damals wäre eine Bestrahlung eventuell  gegangen. Aber nun ist es anders.

Aber alles nicht so wichtig, es geht mir ja gut🙂

 

___________________

Morgen geht es los

von Margret Schroeder

Stephan und ich waren heute zur Vorbereitung für die OP.

Allerlei pasiert:

  • Blut abgenommen,
  • Blutdruck gemessen,
  • mit Anästhesist
  • und Neurochrirugen gesprochen.
  • Und richtig viele Formulare ausgefüllt.

Allerlei Verwaltung könnte man optimieren, ich habe drei Mal meine Medikamente auf einen Zettel eingetragen. Viel Optimierungsluft nach oben , der Anäthesist sagt, SAP sei Schuld. Aber alle Leute waren sehr nett und professionell. Erstaunlich wie die das schaffen bei der großen Menge Patienten, die sie Tag für Tag versorgen. Hut ab.

Morgen bin ich dann dran, um 6:15  7:00 Uhr soll ich da sein. Um 8:00 10:00 Uhr starte die OP.   

Vielleicht gibt es ja noch weitere Verzögerungen? Vielleicht gelingt es Stephan hier morgen zu berichten, wie die OP verlaufen ist (falls meine Anleitung dafür gut genug ist...)

___________________

Erledigt

von Margret Schroeder

Ich bin auf der Intensivstation aufgewacht.

Alles soweit Ok 👍

___________________

Auf der Station

von Margret Schroeder

Nun bin ich auf der Station, die Tumore sind entfernt.
Der Chirurg findet, in meinem Kopf sei viel Platz, aber für eine Frau ist noch genug Gehirn da. Aber ich denke Qualität geht vor Quantität🤕.

ist alles gut gegangen, nur ein keiner Kopfschmerz, das war beim letzen Mal schlimmer.

 

___________________

Moin am Freitag

von Margret Schroeder

Guten Morgen,

ich habe gut geschlafen und auch die Zeit im Flügelhemd beendet. Alle Schläuche mussten an der richtigen Stelle durch die Kleidung. Das hat geklappt und nun warte ich auf das Frühstück.

Noch ein paar Tage, dann ist vorbei. Vielleicht sind noch ein paar Reste für Bestrahlungen, die MRT-Bilder sind noch nicht ausgewertet.

 

 

 

___________________

Alle Lebensgeister zurück

von Margret Schroeder

Moin,

nun ist meine Zeit im Krankenhaus zuende, ich bin bereits zuhause🙂. Es fehlt noch die Auswertung von MRT und CT. Gestern habe ich mir schon mal eine CD brennen lassen, dann kann ich auch selber schauen.

Mir geht es gut, die Lebensgeister sind wieder da und ich habe keine Symptome!

Vor der OP kam der Chirurg und hat ein Kreuz auf das linke Ohr gemalt. 2004 war mein Vater nach einem Treppensturz ins Krankenhaus Blumenthal gekommen und hatte da einige schlimme Wochen bis eine Ärztin ein CT veranlasst hatte und eine Verlegung hier in die Neurochirurgie erfolgte um das Blut aus dem Kopf zu entfernen. Nach der OP hatte er Bohrlöcher auf beiden Seiten der Glatze eins war ein Versehen. Mein Vater  ist ziemlich gesund geworden und hat erst 2012 seit gelungenes Leben beendet. und hier hat man die Qualitätssicherung verbessert.


Bei mir sind alle Schläuche ab und ein eindrucksvolles Piercing eingebaut worden. In ein paar Monaten werden die nachwachsenden Haare es verdecken.

Ich bin froh, dass durch die regelmäßigen Kontrollen ein GAU verhindert werden konnte. Der Sehnerv ist wohl ok und mein halbes, heiles Frauengehirn ist gut trainiert, gleiches für den Rest von mir 💪.

Dann ist es an der Zeit diesen Blog zu beenden, wir sehen uns dann im realen Leben mal irgendwann.

Liebe Grüße

Margret

 

PS:  Ich schreibe diese Texte auf meinem IPhone und habe reichlich Kritik an der Rechtschreibung/Wortergänzung - Software.  Für meine, alten, dicken Finger ist das nix.

___________________