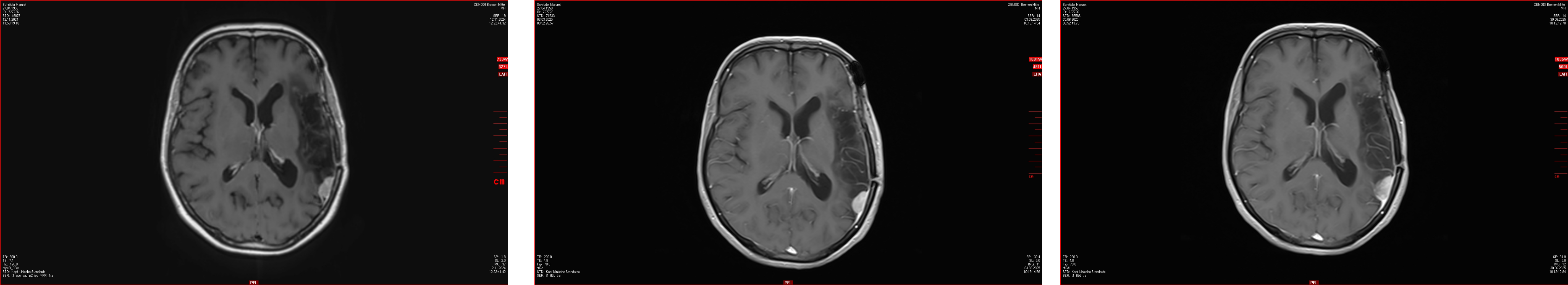
Studie Teil 1

Der Bericht von Zemodi vom 30.06.2025 spicht von einen größenpropagierten Tumor. Deshalb habe ich die Bilder der letzten drei MRTs etwas genauer angesehen.

Zunächst habe ich die größte Ausdehnung des Tumors in den MRTs gesucht. Diese Bilder habe ich in ein Graphikprogramm getan, sie sauber nebeneinander angeordnet (obere Reihe)!

  • links das MRT vom  12.11.2024
  • in der Mitte das MRT vom 03.03.2025
  • rechts das Bild vom 30.06.2025

wenn ich dann auf die Bilder schaue, sehe ich auch ein Größenwachstum des Tumors. Er wurde am 23.01.2025 im Gamma-Knife behandelt.

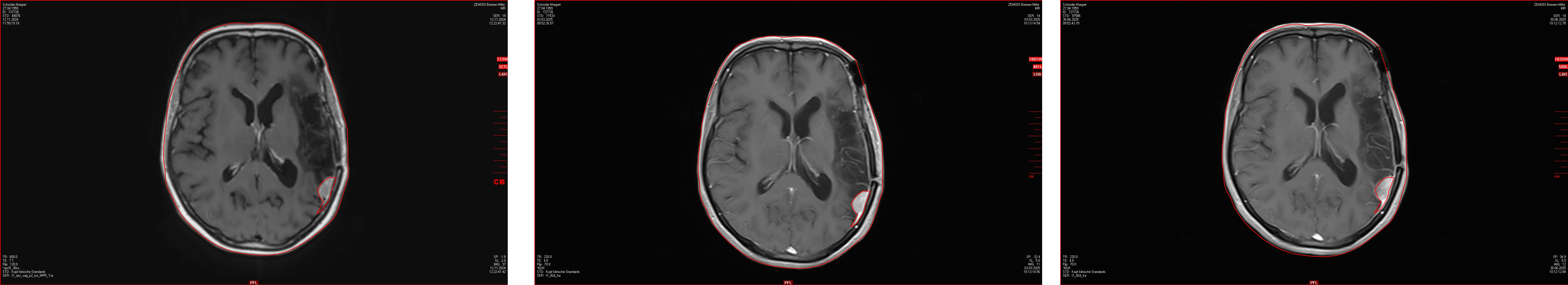
Bei der Gelegenheit hatte ich die Möglichkeit bei Prof. Lippitz  einen Blick auf seine Planungssoftware zu werfen, sehr schön, Bilderkennung in guten Einsatz!

So angeregt,  habe ich in meiner Grafiksoftware eine transparente Ebene eingebaut. Darauf habe ich vom mittleren Bild den Schädelumriß und auch den Tumorrand halbswegs ordentlich nachgezeichnet. Diese beiden Linien habe ich kopiert und über die beiden anderem Bilder plaziert. Auf diesen Bildern ist mir nicht mehr ganz klar, wie das Wachstums zu beurteilen ist.

 

Studie Teil 2

Ich meine, ein Tumor ist ein dreidimensionales Gebilde. Und den kann man nicht durch einen zweidimensionalen Schnitt gut beurteilen. Deshalb habe ich eine weitere Schnittebene aus den MRTs auf gleiche Weise betrachtet und dargestellt. Und wieder bin ich gespannt wie die Tumorkonferenz und Prof. Lippitz die Lage beurteilen wird. Ich habe nie in ein Gehirn physisch geschaut, ich kann nur Bilder ansehen und vergleichen. Ich bin ganz untrainiert, eine KI sollte das viel besser können, hat nicht umbedingt das Wissen von der Physiologie im Kopf. Vielleicht könnte sie ein gutes Werkzeug für einen Spezialisten sein?

Ich kann nicht ausgleichen, dass ich jedes Mal etwas anders im MRT gelegen habe, deshalb werden die Schnitte nicht exakt vergleichbar sein. Aber durch gute Bildererkennung sollte man da was automatisiert ausgleichen können. Der Schädelknochen verändert sich vermutlich nicht so viel, vielleicht kann er Orientierung geben?

Fazit

Diese Studie ist nur eine Spielerei, die ich benutze um mit meinen Befürchtungen/Ängsten klar zu kommen. Wenn etwas gewachsen ist, dann nur etwas.

Ich glaube daran, dass es mir gut tut, Dinge zu tun, die etwas herausfordert sind. Das ist sicher immer Bewegung, aber auch dieses Werkeln an dieser Web-Seite macht mich nicht dümmer. Wenn außer mir noch jemand Spaß daran hat, umso besser.

Kritik an die medizinische Fachwelt will ich hier nicht üben. Ein Beratungsgespräch in der Ambulanz des Krankenhaus dauert vielleicht 15 Minuten. In der Zeit versucht der Berater die Situation des Patienten zu verstehen und zu einer guten Diagnose zu kommen. Dazu muss er die Bilder, die Berichte und die Vorgeschichte erfassen und interpretieren. Hinzu kommt, dass es immer wieder neue Ärzte sind, die mir  in der Beratung begegnen, nicht jeder kann meinen Fall kennen. Alle geben sich viel Mühe und sind super hilfsbereit. Aber der Betrieb des Krankenhauses läßt keine zeitlichen Spielräume, so wie es auch in anderen Bereichen des Gesundheitssystem zu sein scheint (Mein Augenarzt sieht täglich 100! Patienten). Vielleicht könnte man ja doch ein paar mehr Studienplätze für Medizin schaffen?